Что такое коррекция зубов после протезирования. Изменение прикуса при помощи протезирования: разбор клинического случая
- Что такое коррекция зубов после протезирования. Изменение прикуса при помощи протезирования: разбор клинического случая
- Ощущения после установки коронки. Причины боли
- Дискомфорт после протезирования зубов. Болезнь десен под протезом
- Что можно есть металлокерамическими зубами. 5 фактов о металлокерамике, которые вы не знали
Что такое коррекция зубов после протезирования. Изменение прикуса при помощи протезирования: разбор клинического случая
Трудности с пережевыванием пищи, отсутствие зубов, недовольство своим внешним видом, невозможностью улыбаться окружающим – вот неполный перечень тех жалоб, с которыми пациентка обратилась за стоматологической помощью. Из опроса выяснилось, что из-за страха перед лечением визит к стоматологу откладывался надолго, а точнее – на 31 год…

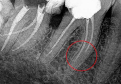
Осмотр выявил очень сильную горизонтальную стираемость верхних и нижних зубов, снижение высоты прикуса и изменение его из нормального в обратный (нижние зубы при смыкании находились впереди верхних). Одновременно на ортопантомограмме височно-нижнечелюстного сустава определялся двухсторонний подвывих нижней челюсти.

После осмотра и рентгенологического обследования зубочелюстной системы был предложен следующий план лечения:
- постепенное поднятие высоты прикуса при помощи протезирования,
- эндодонтическое лечение и подготовка оставшихся зубов к использованию в протезировании,
- изготовление культевых вкладок для создания коронковой части опорных зубов,
- переведение достигнутого центрального соотношения челюстей в центральную окклюзию, т.е. протезирование несъемными металлокерамическими коронками и частично-съемными бюгельными протезами.
Пациент был предупрежден о длительности лечения – оно должно занять не менее одного года. После расчета и моделирования ситуации на диагностических моделях и получения согласия пациента приступили к выполнению составленного плана лечения.
1 этап лечения
Сначала были изготовлены на верхнюю и нижнюю челюсти два пластинчатых протеза с небольшим повышением прикуса. Появилось равномерное смыкание задних зубов, результатом чего стала возможность пережевывания пищи.

2 этап лечения
Была проведена эндодонтическая подготовка зубов, все корневые каналы были вылечены, запломбированы и прикрыты временными пломбами.
3 этап лечения
Каждые два месяца проводился контроль при помощи телерентгенограммы височно-нижнечелюстного сустава. В итоге высота прикуса при помощи использования пластичных протезов увеличилась. В течение этого времени проводилась их регулярная перебазировка. Разобщение верхнего и нижнего зубных рядов становилось больше.
4 этап лечения
После появления необходимой высоты прикуса на передние зубы были изготовлены и установлены пластмассовые корневые вкладки и на них выполнены временные коронки.

Изготовление металлических вкладок пока было преждевременно, так как можно было ошибиться с размером и наклоном в переднезаднем направлении. С появлением временных пластмассовых коронок пациент стал улыбаться, смог не только пережевывать, но и откусывать пищу передними зубами. Так как изменение высоты прикуса происходило постепенно, пациент быстро и благополучно привыкал к создавшемуся положению и явлений дискомфорта не испытывал.



Ощущения после установки коронки. Причины боли
Как правило, перед установкой коронки, зуб депульпируют - то есть удаляют нервно-сосудистый пучок в корне и коронковой части, после чего пломбируют каналы. Боль может быть вызвана некоторыми особенностями проведения этих манипуляций:
- неполная пломбировка каналов - в результате образования пустот в каналах корня может начать развиваться инфекционный процесс; у верхушки корня скапливается гной, это становится причиной боли. Это - распространенное осложнение эндодонтического лечения, особенно в случаях, когда каналы слишком узки или изогнуты;
- проседание пломбировочных материалов со временем - даже если каналы корня заполнены в полном объеме, изменение физических свойств материалов также может привести к появлению пустот - в них развивается инфекция, воспаление распространяется на ткани около верхушки корня зуба;
- выведение пломбировочного материала за пределы верхушки корня - “лишний” материал в тканях периодонта может спровоцировать раздражение и воспаление.

Пульпит . Воспаление пульпы может возникать в случаях, когда было принято решение сохранить ее - обработка зуба может привести к ожогу, инфекционный процесс может уже начинаться в пульпе и протекать бессимптомно, что становится причиной воспаления. Сохранение живой пульпы перед установкой коронки на зуб - редкое явление, как правило, “нерв” подлежит удалению.
Перфорация стенок канала корня. Перфорация - создание отверстия в канале корня, явление, которое происходит по нескольким причинам:
- перфорация может быть следствием механической обработки канала тонким инструментом - он должен входить в канал по всей длине. Если канал изогнут, то даже небольшой нажим может стать причиной прохождения инструмента через ткани зуба;
- установка штифта может привести к перфорации - его устанавливают в канал корня, что при соответствующих анатомических особенностях строения корневой системы также может привести к формированию отверстия.
Отверстие является “воротами” для инфекции - ткани воспаляются через некоторое время после установки штифта или проведения эндодонтического лечения, что и вызывает боль.
Почему болит зуб под коронкой? Причиной этому может быть и наличие инородного тела в канале. В ходе эндодонтического лечения может произойти отлом кончика инструмента, последующее пломбирование канала с инородным телом приводит к болям. Причин отлома может быть несколько - самой распространенной из них является кривизна каналов. Если они труднопроходимы, инструмент может сломаться в связи с высокой нагрузкой.

Как правило, в таком случае пациент чувствует боль при воздействии температур, а также болит зуб под коронкой при надавливании. Пульсация может появляться при нагрузке, жевании на стороне с установленной коронкой. Постукивание по зубу также вызывает неприятные ощущения.
Для того, чтобы избежать такого осложнения, врач-стоматолог обязательно выполняет рентген-диагностику перед установкой коронки или любого другого зубного протеза.
При соблюдении технологии обработки и подготовки зуба к протезированию установка коронки может также стать причиной болей - если конструкция завышена по прикусу, пациент при смыкании челюстей ощущает дискомфорт. Именно поэтому важен этап “примерки” коронки перед ее окончательной установкой - хороший стоматолог-ортопед предварительно оценит степень комфорта для пациента.
Дискомфорт после протезирования зубов. Болезнь десен под протезом
Съемные и несъемные конструкции являются незаменимой частью зубного ряда при его отсутствии или исправлении прикуса. Однако порой они приносят не только пользу, но и дискомфорт пациенту, отзываясь болью. Что делать, если болят десна под протезами? Разберемся в этой статье.
Почему болят десна под протезом
В числе главных причин, влияющих на развитие болезненности десен после протезирования, следует выделить:
- Неправильно установленный протез. Ошибки в подборе размера и формы конструкции оказывают дискомфорт. Коронки давят и натирают десна. Ситуация усугубляется тем, что при частом употреблении твердых продуктов питания, конфет-ирисок и другой пищи изменяется положение конструкции, что вызывает натертость и раны на слизистой оболочке.
- Аллергическую реакцию. Интоксикация наступает, если у больного имеется склонность к аллергии на кобальт, медь, хром, никель и сплавы металлов. Также она усиливается при установке металлокерамики.
- Случай опасный. При несвоевременном оказании помощи имеется риск развития отека Квинке.
- Заболевания десен, полости рта и зубов. Если инородный предмет установлен при инфицировании полости рта, то болезнь может перерасти в гингивит, грибковый стоматит, кисту, кандидоз, кариес. Симптомы могут быть различны. Например, под протезом скапливается мягкий налет, при нажатии на пластину болевые ощущения усиливаются, десна кровоточат и отекают. Ткани пародонта глубоко поражаются, появляются язвочки на альвеолярных отростках.
Что можно есть металлокерамическими зубами. 5 фактов о металлокерамике, которые вы не знали
Металлокерамические протезы являются самым востребованным материалом для восстановления зубов коронкой или мостом. Это эстетичный и прочный вид протеза, который имеет привлекательную стоимость. У металлокерамики есть недостатки, однако, в современной стоматологии можно найти адекватное решение, которое устранит минусы конструкции. О чем стоит знать пациентам, решившимся на установку металлокерамики?
Металлокерамика вызывает аллергию
При использовании сплавов на основе никеля или кобальта с хромом аллергическая реакция возникает у 5% пациентов. Коронки, имеющие в основе титан или драгоценные металлы, не вызывают аллергию. Таким образом, если у пациента выявлена аллергия на металл, то альтернативой может быть коронка или мост из титана или золота.

От металлокерамики десна становится синяя
Каждый металл в составе сплава имеет свою реакцию на организм. Чаще всего стандартные сплавы окисляются со временем, что приводит к проседанию десны и изменению ее цвета, что может наступить через некоторое время. Это возникает, если использовались стандартные коронки с незакрытой нижней металлической частью. При использовании коронок с плечевой массой или, как их еще называют — повышенной эстетикой, место прилегание металла к десне закрывается, что позволяет предотвратить отек слизистой, изменение цвета, быстрое проседание.
Металлокерамика прочная
Сплав кобальта и хрома имеет хорошую биосовместимость и высокие показатели прочности. Никель-хромовые сплавы более пластичные, но по прочности уступают. Титан кроме высоких показателей прочности и износостойкости еще и биоинертный металл. Сплавы драгоценных металлов прочные, биоинертные, придают зубам светлый теплый оттенок, что делает коронку эстетичнее. По прочности и долговечности титан и сплавы на основе золота прочнее, служат дольше, благодаря хорошей биосовместимости.
Металлокерамика долго служит
Срок службы металлокерамических коронок составляет от 5 до 12 лет. При соблюдении гигиены, правильной установке коронки и отсутствии врачебных ошибок на этапе изготовления и подгонки. Если у пациента зубной мост с опорой на собственные зубы, то следует помнить о факторах, сокращающих продолжительность службы металлокерамики. К ним относят:
Кариес опорных зубов, который возникает при недостаточно герметичной установке;
Сильная обточка зубов и препарирование каналов, перегрев пульпы при препарировании, который вызывает воспаление;
Атрофия кости под зубным мостом и расшатывание опорных зубов, если на них воздействует высокая нагрузка при жевании, вызывает расшатывание и выпадение обточенных зубов из-за недостаточной фиксации во рту;
Фиксация на цемент при некачественно подобранном клеящем составе приводит к размыванию цемента и отслаиванию коронки от культи.
Эти факторы сокращают срок службы зубных мостов. Если пациенту необходимо провести лечение каналов, кариеса, воспаления десен, провести замену конструкции на более удобную или провести повторную установку протеза на новый цемент, то в большинстве случаев необходима повторная обточка опор. Это приводит к тому, что старая конструкция не подходит для установки и требуется изготовление новой.

Металлокерамика самая дешевая по стоимости
Металлокерамические коронки самые дешевые в любой стоматологической клинике. Однако, следует учитывать, что от качества материала напрямую зависит цена. Никель- и кобальт-хромовые каркасы самые доступные по стоимости, титановый каркас дороже, также как и сплав на основе золота или платины. Коронка с плечевой массой на 30-60% дороже обычной, а с каркасом из драгоценных металлов — дороже в 2-2,5 раза.
При использовании стандартного метода литья вероятность ошибки выше, что увеличивает риски появления осложнений. При применении компьютерного моделирования и CAD/CAM технологии стоимость также увеличивается в несколько раз.
От качества материала напрямую зависит, сколько прослужит металлокерамическая коронка. От мастерства доктора и тщательности его работы зависит насколько точно будет изготовлена и установлена конструкция. Выбор качественных материалов и опытных специалистов позволят добиться не только долговечного, но и эстетичного, безопасного результата на долгие годы.